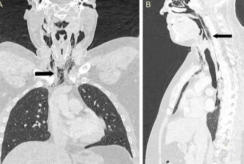
В попытке сдержать чих он почувствовал "Хлопок" в шее, за которым последовали боль и трудности при глотании. МРТ Показало, что воздух выходил через разрыв из трахеи в мягкие ткани шеи. В течение следующих нескольких дней мужчину кормили через зонд, чтобы дать тканям время для заживления.

Когда мы прикрываем нос и рот во время чихания, воздуху некуда деваться, и его давление разрывает мягкие ткани, нанося им вред.

